最新の歯科材料と技術でワンランク上の美しさに。
審美的な治療とは、セラミック、ハイブリッドセラミックスなどの歯科材料を用いて行う、機能性と見た目の美しさを追求した診療です。今までの歯科治療では主に機能面の回復(噛むこと)が主な目的でしたが、それだけではなく、本来の美しさ、また、それ以上に美しい歯を再現する治療を行っております。機能面に問題がなくても、より美しくするために(歯並び、色調)治療を行うことも可能で『歯の美容整形』という位置づけで行われることもあります。
また、矯正治療を用いずとも短期間で色調・前歯の歯並びを改善できます。(症例は限られますのでお急ぎの方はお早めにご相談ください)。現在、差し歯にしているが形・色が合わなくて気にされている方や歯並びが気になるけど矯正治療を受けたくない方などを美しく自然な口元になるようご提供させていただいております。
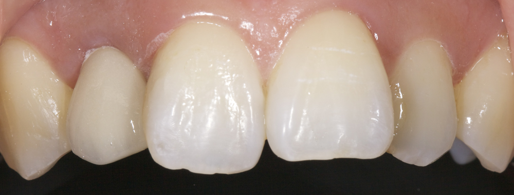
歯を美しく修正する「セラミック治療」
セラミック製の人工歯や詰め物を用いた治療で、銀歯や銀の詰め物、小規模の不正咬合や色素沈着など、審美的な問題を解決したい場合に用います。芸能人なども受けている治療で、とても白く美しい歯にすることができます。
- オールセラミック - 128,000円(税込)
- オールセラミックは金属を使わずに、特別な人工歯質材料を用いて作り上げます。強度が強く色も自然に美しく作ることが出来ます。通常の治療で行われるメタルボンドクラウン(金属の裏打ちの上にポーセレンを貼り付ける冠)と違い金属を一切使用しないので、金属歯周囲の黒ずみや変色を防ぐことも出来ます。天然歯の色調、透明感を再現し、より自然な仕上がりとなります。
- メタルボンド - 99,000円(税込)
- メタルボンドとは金属のまわりにセラミックを貼り付けた被せ物です。中身が金属で出来ているので、強度がオールセラミックより強く、表面がセラミックで出来ているので、自然な色合いで審美性にも優れていますが、金属が溶け出すことによる歯ぐきの変色や金属アレルギーが起こる可能性などのデメリットがあります。
