失われた骨や歯ぐきを修復させる最新の治療法。
歯周病などによって失われた骨や歯ぐきをできるだけもとの状態へ修復させる最新の治療法です。歯周病の治療の最終ゴールは、病気の部分を取り除き、なくなってしまった組織の機能と形態を回復させることです。歯周再生療法とは、歯の機能と形態を回復させるために、患者さん自身の細胞を使ってその患者さんを治療するという考えの最新の治療法です。歯周病などによって失われた骨や歯ぐきをできるだけもとの状態へ修復させることが可能になります。歯周再生療法には、GTR法とエムドゲイン法の2つがあります。
GTR法
歯周病で破壊、吸収された歯周組織は、その原因を除去することで再生しようとしますが、歯周病に罹患した部分を清掃した後に何もせずそのまま治癒を待つと必要な支持組織が再生する前に歯肉がそこに入り込み歯周組織の再生を阻んでしまいます。GTR法では、歯周ポケット内部を清掃した後にメンブレンと呼ばれる膜を設置し、外から歯肉が入り込まないよう防御することで、メンブレンの下には歯周組織が再生を開始し、ゆっくりと成長していきます。この成長には時間を要しますので、メンブレンの下が新しい組織で満たされるまで一定期間保持しておく必要があります。
エムドゲイン法
GTR法は、歯肉が入り込むのを膜を用いて阻止しますが、エムドゲイン法では、エムドゲイン・ゲルという薬剤を欠損部に注入し、歯周組織の再生を促すとともに、歯肉が入り込むことを防止します。このエムドゲイン・ゲルは時間の経過とともに歯周組織の再生を促しながら吸収していくので、GTR法のように後からもう一度手術を行う必要はありません。
※画像をクリックすると拡大画像がご覧いただけます。
※写真・症例はすべて当院によるものです。
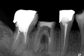
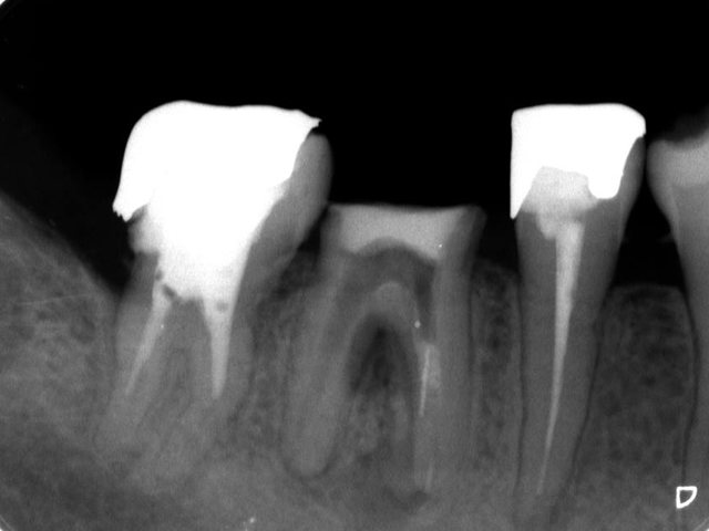
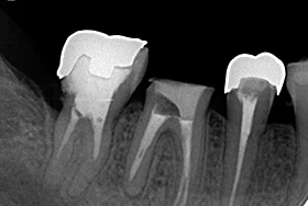
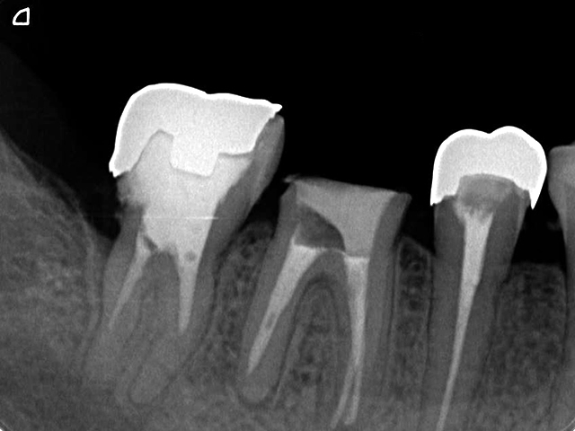
< 症例1 >
- 歯周再生療法
- 一歯につき 39,000円(税込)


