インプラント症例(前歯)
※画像をクリックすると拡大画像がご覧いただけます。
※写真・症例はすべて当院によるものです。
※治療期間、回数、費用は個人の状態により変わります。
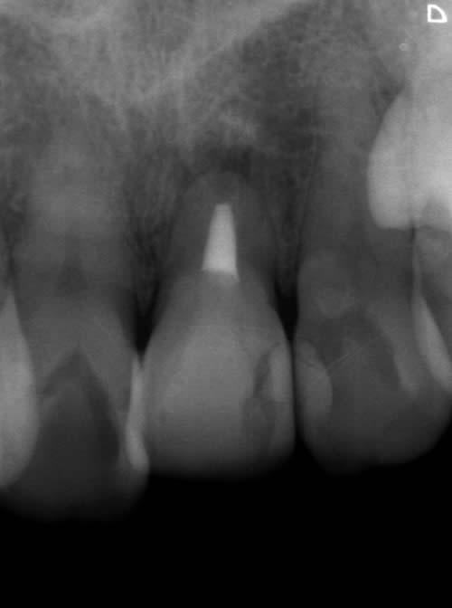
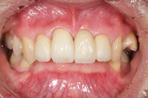
< 症例1 >
- 治療期間:6ヶ月
- 治療回数:8回
- 治療歯数:1歯
- 費用:インプラント治療:45万円 上部セラミック:89,000円
- リスク:メンテナンスを怠ると、インプラント周囲炎になる可能性があります。
- インプラント手術には合併症が伴う場合があります。
- 治療期間は治癒の状態により前後する場合があります。
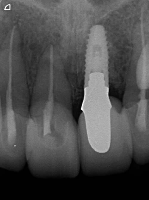
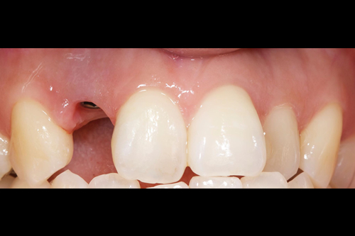
< 症例2 >
- 治療期間:8ヶ月
- 治療回数:12回
- 治療歯数:1歯
- 費用:インプラント治療:47万円 上部セラミック:89,000円
- リスク:メンテナンスを怠ると、インプラント周囲炎になる可能性があります。
- インプラント手術には合併症が伴う場合があります。
- 治療期間は治癒の状態により前後する場合があります。
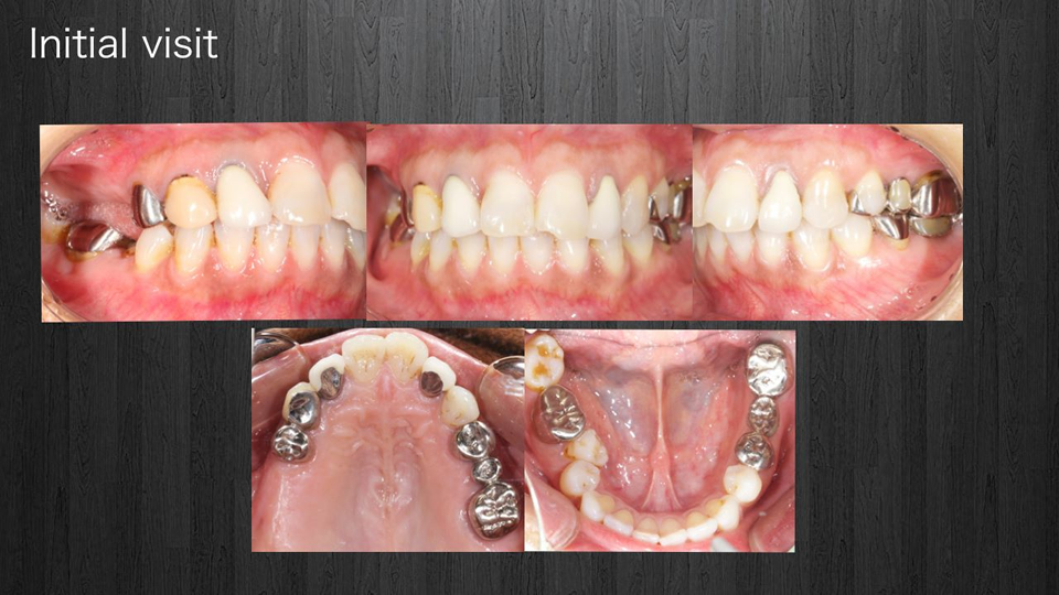
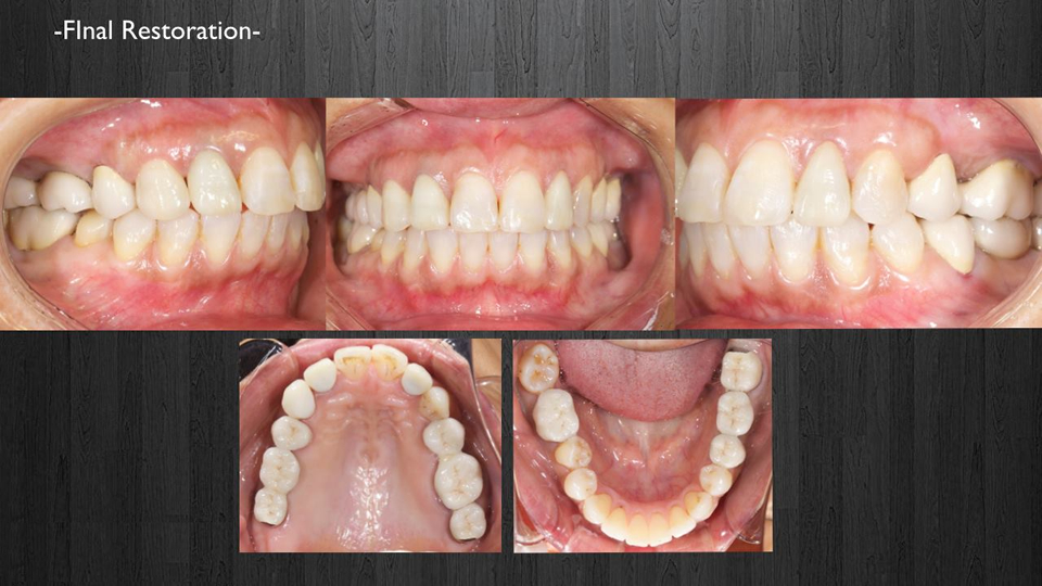
インプラント症例(全顎)
< 症例1 >
- 治療期間:24ヶ月
- 治療回数:126回
- 治療歯数:28歯
- 費用:全顎矯正治療80万円 インプラント治療:155万円 上部セラミック:160万円
- リスク:メンテナンスを怠ると、インプラント周囲炎になる可能性があります。
- インプラント手術には合併症が伴う場合があります。
- 治療期間は治癒の状態により前後する場合があります。
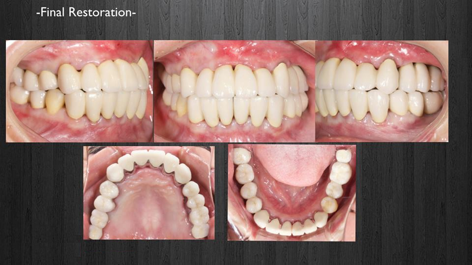
< 症例2 >
- 治療期間:28ヶ月
- 治療回数:145回
- 治療歯数:28歯
- 費用:全顎矯正治療80万円 インプラント治療:195万円 上部セラミック:300万円
- リスク:メンテナンスを怠ると、インプラント周囲炎になる可能性があります。
- インプラント手術には合併症が伴う場合があります。
- 治療期間は治癒の状態により前後する場合があります。
















